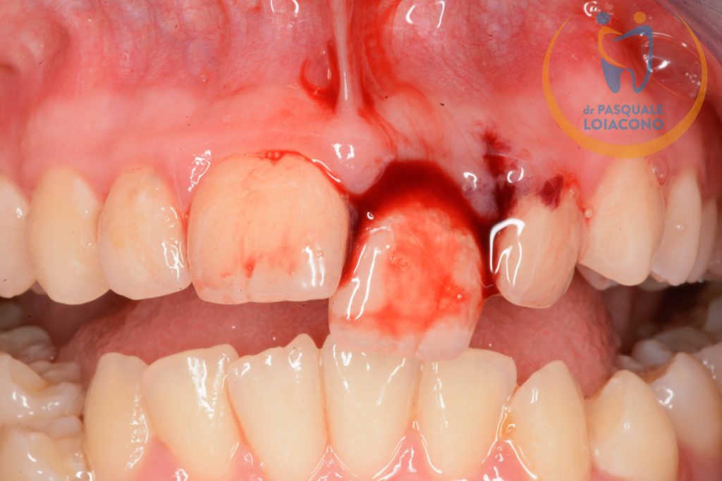
La rapidità nella gestione dei traumi dentali è fondamentale per il recupero dei denti.
Ci sono situazioni in cui il tempo è prezioso, e quella del reimpianto dentale è una di queste. Un dente mobilizzato dalla sua sede per trauma, può essere reimpiantato nella sua posizione (nel suo “alveolo”), anzi è obbligatorio attuare questa terapia. Le linee guida delle Società scientifiche forniscono indicazioni precise in questo senso: https://iadt-dentaltrauma.org/guidelines-and-resources/iadt-asd-guidelines/

Se il dente è completamente fuoriuscito dalla sua sede è necessario pulirlo con acqua tenendolo dalla parte della corona e senza toccare la radice, e mantenerlo in una soluzione di acqua e sale (basterà un cucchiaino di sale in un bicchiere di acqua). Nel più breve tempo possibile contattare un odontoiatra che eseguirà le procedure necessarie per il reimpianto del dente.

A questo link una guida pratica su come comportarsi in caso di traumi: https://iadt-dentaltrauma.org/guidelines-and-resources/save-a-tooth-poster/#






Un riassunto dei comportamenti da tenere:

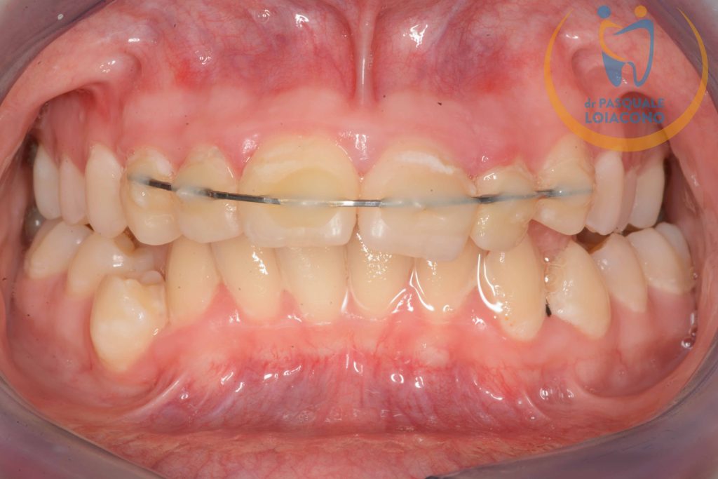
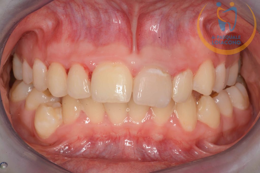
Mantenere i denti del paziente è sempre la scelta ideale. Nello studio del Dr Pasquale Loiacono salvare i denti del paziente è sempre la priorità!