
La gnatologia è la scienza che studia il funzionamento dell’organo della masticazione e quindi dei suoi componenti: denti, muscoli e articolazioni e nervi.
Facciamo una riflessione: per guarire qualsiasi malattia è fondamentale per il medico conoscere esattamente il funzionamento dell’organo che si desidera curare, e infatti in medicina si studia la fisiologia cioè il funzionamento degli organi sani.
https://www.terapiagnatologica.it/archives/726

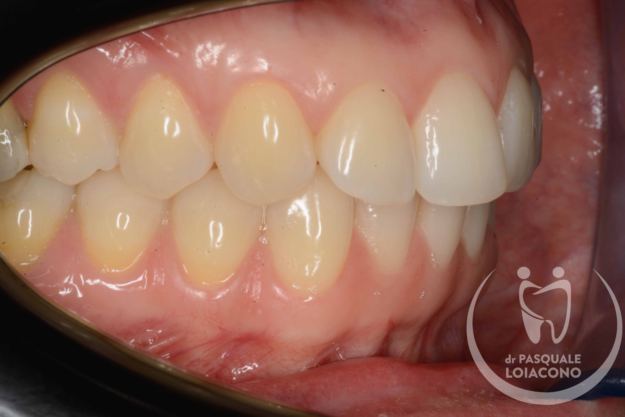
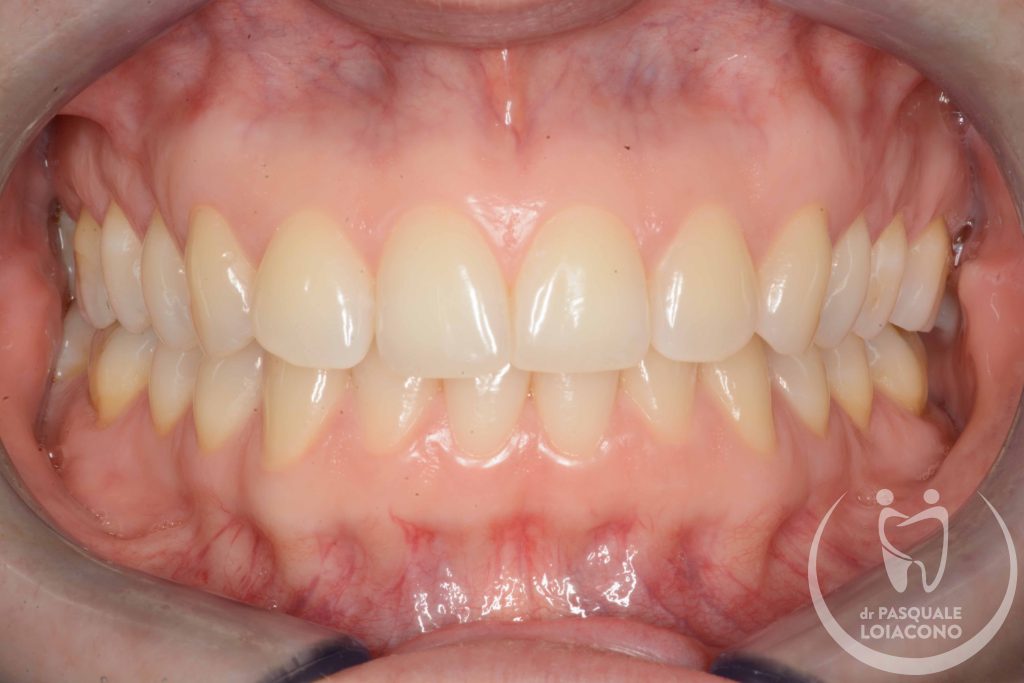
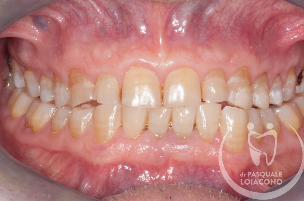
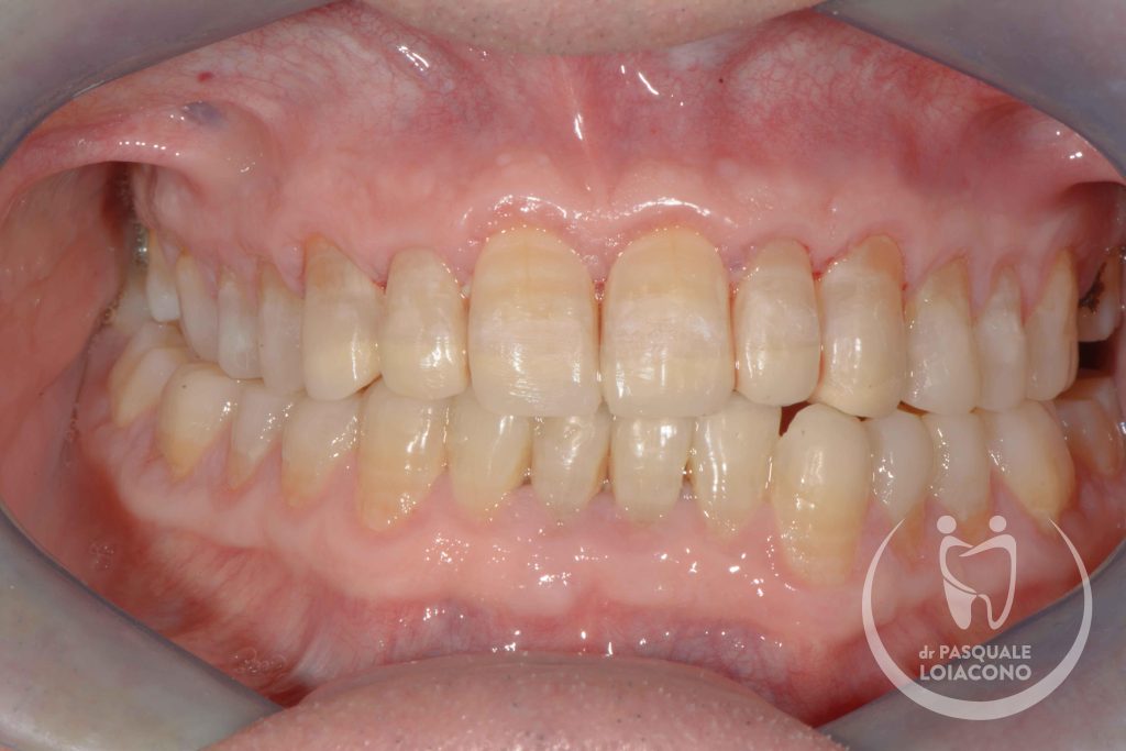
In generale nel funzionamento della bocca è preferibile che ci sia la simmetria tra le parti destra e sinistra, perché segno di equilibrio muscolare. Le asimmetrie delle arcate sono spesso la conseguenza di abitudini di masticazione prevalente su un solo lato, condizione non ottimale perché potrebbe creare tensioni nel nostro sistema posturale e sulle articolazioni della mandibola.
https://pubmed.ncbi.nlm.nih.gov/36965932/



Tuttavia il bite è una soluzione efficace ma temporanea: occorre ripristinare una chiusura (occlusione) dentale favorevole e armonica. Quindi occorre fare una diagnosi e una terapia assolutamente personalizzata e specifica.
E’ importante notare come sia la chiusura dentale a influenzare la posizione nello spazio dell’articolazione. Per questo in caso di problemi articolari è necessario costruire un bite di “riposizionamento mandibolare”, cioè un apparecchio costruito per mantenere attraverso i denti la mandibola e le sue articolazioni in una posizione corretta.
Si ricordi: l’organo della masticazione è costituito da denti, articolazioni e ossa, ma anche muscoli e nervi, e tutti questi componenti devono lavorare in armonia, e il difetto di un componente si riflette su tutti gli altri.
https://www.quintessenzaedizioni.com/libri/libri-inglese/treating-the-triad/p/1293.html

Quando ci sono problemi articolari della mandibola è necessario ricercare un’occlusione dentaria che rimetta il sistema il più possibile in equilibrio. L’organo della masticazione non è costituito solo da denti, ma anche da articolazioni e componenti neuromuscolari, e solo quando tuti i componenti sono in armonia tra loro si può avere salute e benessere. In realtà non tutti gli studiosi sono d’accordo su questioni fondamentali e non esiste visione unanime. Questo vuol dire che potreste incontrare un odontoiatra che sconsiglia qualsiasi trattamento, se non fisioterapia e massaggi o addirittura solo terapia psicologica di sostegno. All’opposto esistono scuole di pensiero che identificano nell’occlusione il fattore scatenante di una patologia che comunque resta complessa e multifattoriale. Da dentista desidero che la bocca funzioni bene e segua le regole stabilite, perché considero comunque positiva questa condizione, e quindi cerco di riportare l’occlusione del paziente verso una condizione il più possibile ideale.
https://pubmed.ncbi.nlm.nih.gov/4505873
Un articolo scientifico famoso che spiega come funzionano le bocche in perfetta salute.
Avere una occlusione stabile ed equilibrata non farà certamente più male che avere squilibri occlusali, anche se la Scienza non è ancora riuscita a mettersi d’accordo su quanto lo squilibrio occlusale disturbi il sistema della masticazione o su quanto influenzi la postura.
https://pubmed.ncbi.nlm.nih.gov/22369551/

https://pubmed.ncbi.nlm.nih.gov/40428749
Quindi possiamo dire che la gnatologia è la scienza che studia il funzionamento del sistema della masticazione, e quindi coinvolge necessariamente tutte le specialità dell’odontoiatria.
Nello studio del Dr Pasquale Loiacono si esegue diagnosi e terapia dei diversi problemi gnatologici, con terapie personalizzate protesiche, additive non invasive ed ortodontiche.